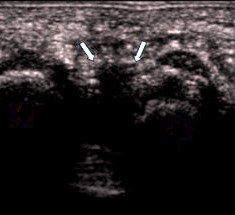
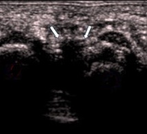
L'échographie est un examen performant à utiliser en première intention lorsqu'on souhaite mettre en évidence un (pseudo)névrome de Morton: si l'examen débute systématiquement par le versant dorsal des 2ème et 3ème espaces inter-capitométatarso-phalangiens, la manœuvre de Mulder, pratiquée par voie plantaire, est quant à elle incontournable pour confirmer le diagnostic.
Nombreux sont les imageurs qui, tentant de répéter cette manœuvre, n'observent plus le ressaut/déclic souvent râpeux lors de l'expulsion instantanée du névrome hors de son espace interosseux vers la voûte plantaire lors du mouvement de serrement transverse de l'avant-pied; autrement dit, le signe de Mulder, initialement positif, ne l'est plus.
L'explication de cette absence de répétition du signe est pourtant simple! Si le signe de Mulder n'est pas reproductible, c'est parce que le nerf n'a pas été réengagé totalement dans l'espace inter-capitométatarso-phalangien; dans cette situation, il ne pourra donc pas faire l'objet d'un nouveau ressaut d'expulsion lors de la répétition de la manœuvre.
Pour favoriser la reproduction du signe, une méthode rigoureuse doit être adoptée:
1.Le patient est en procubitus, genou fléchi à 90°: cette position permettra de détendre au mieux l'avant-pied, ce qui favorisera la procédure. L'examinateur est situé "au pied du patient", et ses deux mains seront utiles, l'une pour tenir la sonde et l'autre pour effectuer le serrement de
l'avant-pied.
2.Appuyer fortement avec la sonde positionnée par voie plantaire sur l'espace inter-capitométatarso-phalangien en question permettra de réengager le nerf dans cet espace et donc de reproduire le ressaut.
3.Lors du serrement transverse de l'avant-pied, l'examinateur devra alors relâcher la pression de la sonde afin de favoriser l'expulsion du nerf hors de l'espace inter-capitométatarso-phalangien.
Ces règles de base, on ne peut plus logiques et pourtant peu connues, peuvent se résumer ainsi:
1.favoriser le relâchement de l'avant-pied en positionnant le patient de la bonne manière;
2.savoir effectuer au bon moment une pression de la sonde sur la voûte plantaire antérieure pour réengager le nerf dans son espace interosseux distal et reproduire ainsi le ressaut.
Ci-dessous, une vidéo vous montrant la répétition de la manœuvre de Mulder positive
Avant de conclure, deux informations complémentaires:
•80 % des névromes de Morton (on devrait plutôt dire pseudonévromes) s'observent dans le 3ème espace interosseux distal, moins de 20 % dans le 2ème espace. Cette localisation préférentielle dans le 3ème espace interosseux est liée à la plus grande fixité du 3ème nerf interosseux plantaire né de la convergence d'une racine plantaire interne et d'une racine plantaire externe. Une plus grande fixité, donc une plus grande vulnérabilité à la friction mécanique d'origine ligamentaire et surtout osseuse.
•Il est conseillé de mesurer le névrome selon ses 3 dimensions, sa largeur étant plus volontiers augmentée par rapport à son épaisseur et donc apparaissant la dimension la plus significative. Mon expérience personnelle, reposant sur un nombre important de cas suivis en pré et post-opératoire, m'incite à considérer que le nerf interosseux plantaire ne doit pas dépasser à l'état normal 1,6 mm d'épaisseur (habituellement sur une coupe longitudinale, réalisée de préférence par abord plantaire avec manœuvre de Mulder mettant le nerf le plus parallèle possible à la sonde et donc le mieux démontrable).
Dr Jean-Claude LADURON, Sport's Medical Imaging, Brussels (drladuron@outlook.com)
•80 % des névromes de Morton (on devrait plutôt dire pseudonévromes) s'observent dans le 3ème espace interosseux distal, moins de 20 % dans le 2ème espace. Cette localisation préférentielle dans le 3ème espace interosseux est liée à la plus grande fixité du 3ème nerf interosseux plantaire né de la convergence d'une racine plantaire interne et d'une racine plantaire externe. Une plus grande fixité, donc une plus grande vulnérabilité à la friction mécanique d'origine ligamentaire et surtout osseuse.
•Il est conseillé de mesurer le névrome selon ses 3 dimensions, sa largeur étant plus volontiers augmentée par rapport à son épaisseur et donc apparaissant la dimension la plus significative. Mon expérience personnelle, reposant sur un nombre important de cas suivis en pré et post-opératoire, m'incite à considérer que le nerf interosseux plantaire ne doit pas dépasser à l'état normal 1,6 mm d'épaisseur (habituellement sur une coupe longitudinale, réalisée de préférence par abord plantaire avec manœuvre de Mulder mettant le nerf le plus parallèle possible à la sonde et donc le mieux démontrable).
Dr Jean-Claude LADURON, Sport's Medical Imaging, Brussels (drladuron@outlook.com)




