
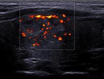
Le doppler énergie permet de rechercher une hyperhémie synoviale le plus souvent liée à une activité inflammatoire.
Contrairement au doppler couleur et au doppler pulsé, la technique ne dépend pas de l’angle de tir, c'est-à-dire de l’inclinaison de la sonde. Par contre, pour ne pas avoir d’artefacts de mouvement, il vous faudra immobiliser parfaitement le patient et la sonde, ce qui n’est pas si simple à faire !
Autre problème de taille: le signal doppler est plus ou moins sensible en fonction des appareils des constructeurs.
Enfin, il n’est pas non plus évident d’évaluer l’importance de l’inflammation en se référant à l’intensité du signal.
Nanti de toutes ces nuances, sachez toutefois que la procédure restera toujours la même:
a) Régler la PRF (Pulse Repetition Frequence) autour de 1000 Hz pour l’échographie de l’appareil locomoteur
b) Augmenter progressivement le gain jusqu’à voir apparaître un signal en regard des corticales osseuses
c) Si vous observez un signal dans un tissu synovial avant qu’il n’apparaisse sur la corticale osseuse, vous pouvez conclure à une hyperhémie et donc à l’inflammation de ce tissu synovial.
Et maintenant, il ne reste plus qu’à pratiquer …
Contrairement au doppler couleur et au doppler pulsé, la technique ne dépend pas de l’angle de tir, c'est-à-dire de l’inclinaison de la sonde. Par contre, pour ne pas avoir d’artefacts de mouvement, il vous faudra immobiliser parfaitement le patient et la sonde, ce qui n’est pas si simple à faire !
Autre problème de taille: le signal doppler est plus ou moins sensible en fonction des appareils des constructeurs.
Enfin, il n’est pas non plus évident d’évaluer l’importance de l’inflammation en se référant à l’intensité du signal.
Nanti de toutes ces nuances, sachez toutefois que la procédure restera toujours la même:
a) Régler la PRF (Pulse Repetition Frequence) autour de 1000 Hz pour l’échographie de l’appareil locomoteur
b) Augmenter progressivement le gain jusqu’à voir apparaître un signal en regard des corticales osseuses
c) Si vous observez un signal dans un tissu synovial avant qu’il n’apparaisse sur la corticale osseuse, vous pouvez conclure à une hyperhémie et donc à l’inflammation de ce tissu synovial.
Et maintenant, il ne reste plus qu’à pratiquer …