
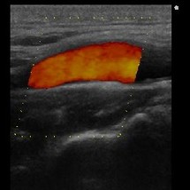
Si votre appareil est doté d’un doppler couleur, prenez l’habitude de l’utiliser, et cela même dans le cadre de l’échographie de l’appareil locomoteur.
En effet, face à une image hypoéchogène d’aspect liquidienne, il serait fâcheux d’évoquer un kyste par exemple, alors que la présence de rouge ou de bleu dans la fenêtre de tir sur votre écran aurait permis de dire qu’il s’agit d’un vaisseau.
Pour un simple repérage vasculaire, l’utilisation du doppler couleur est très simple.
Toutefois, il ne faut pas oublier :
- qu’une veine peut s’écraser si la sonde est appuyée trop fortement (et si la veine est collabée, le doppler ne sert à rien)
- que le doppler couleur nécessite un angle de tir différent de 90° : pour modifier l’angle de tir, vous pouvez incliner la sonde, ou bien encore modifier l’orientation de la boite couleur (paramètre modifiable dans les réglages de l’appareil).
Remarque faite en passant :
- pour éviter l’artefact d’anisotropie, la sonde doit être orientée perpendiculairement à la structure à étudier, c'est-à-dire à 90°.
- Pour utiliser le doppler couleur, l’angle de tir doit s’éloigner de ces 90°.
Moralité : entre tendon et vaisseau, concernant l’inclinaison de votre sonde, il vous faudra choisir !!
En effet, face à une image hypoéchogène d’aspect liquidienne, il serait fâcheux d’évoquer un kyste par exemple, alors que la présence de rouge ou de bleu dans la fenêtre de tir sur votre écran aurait permis de dire qu’il s’agit d’un vaisseau.
Pour un simple repérage vasculaire, l’utilisation du doppler couleur est très simple.
Toutefois, il ne faut pas oublier :
- qu’une veine peut s’écraser si la sonde est appuyée trop fortement (et si la veine est collabée, le doppler ne sert à rien)
- que le doppler couleur nécessite un angle de tir différent de 90° : pour modifier l’angle de tir, vous pouvez incliner la sonde, ou bien encore modifier l’orientation de la boite couleur (paramètre modifiable dans les réglages de l’appareil).
Remarque faite en passant :
- pour éviter l’artefact d’anisotropie, la sonde doit être orientée perpendiculairement à la structure à étudier, c'est-à-dire à 90°.
- Pour utiliser le doppler couleur, l’angle de tir doit s’éloigner de ces 90°.
Moralité : entre tendon et vaisseau, concernant l’inclinaison de votre sonde, il vous faudra choisir !!