Face à une douleur chronique à l’aine en particulier chez un sujet jeune, le plus souvent sportif, il faut penser à suspecter une fissure du bourrelet cotyloïdien.
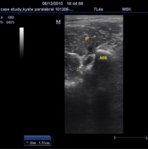
Si le diagnostic est évoqué, il faut garder à l’esprit que l’échographie met rarement en évidence une fissure du bourrelet cotyloïdien. Néanmoins, les kystes paracotyloïdiens sont des signes indirects de fissure très souvent associés à cette lésion. La reconnaissance de ces kystes est capitale pour orienter les investigations complémentaires. L’échographie permet de les identifier facilement, comme vous pouvez le voir sur la photo jointe.
Une autre difficulté est liée au diagnostic différentiel entre les kystes paracotyloïdien et les bursites du psoas dont l’apparence échographique peut être similaire. Il faut noter qu’aucune investigation ne présente une sensibilité et une spécificité suffisante pour affirmer le diagnostic de fissure paracotyloïdienne de manière définitive pour tous les cas. Actuellement, l’arthro-IRM est l’examen le plus indiqué et il est important de le proposer lorsque des images kystiques sont identifiées à l’échographie.
Conclusion: le rôle de l’échographie peut-être primordiale dans la suspicion d'une fissure du bourrelet cotyloïdien en recherchant un signe indirect lié à une complication de cette fissure, le kyste paracotyloïdien.
Cette histoire vous rappellera certainement celle du kyste de l'échancrure spino-glénoïdienne, où là encore, le bourrelet glénoïdien peu visible aux US peut s'exprimer en cas de fissure par une complication (revoir le film récemment paru à ce sujet)...



