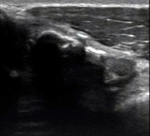
La fracture du sternum est assez rare, cet os étant protégé par les côtes et leurs cartilages qui jouent un rôle d'amortisseurs élastiques et qui sont lésés en priorité.
Cependant on peut noter des fractures directes du sternum lors de chocs sur la partie antérieure du thorax (le cas de notre rugbyman) ou plus rarement indirectes après une chute sur le dos ou le siège
Attention au sujet mince et déminéralisé !
Chez lui, la fracture pourra survenir simplement à la suite d'un effort musculaire violent.
Le fait qu'il n'y ait pas eu de traumatisme franc ne devra pas, dans ce cas de figure, nous faire oublier de passer la sonde sur les 3 constituants de cet os...




