Il y a quelque semaines, nous avons mis en ligne sur le site une vidéo montrant que l'échographie permet de diagnostiquer des fractures siègeant au niveau du segment horizontal ou du sommet de l'apophyse coracoïde.
Pour preuve, voici les images observées chez un patient présentant depuis plusieurs semaines des douleurs scapulaires antérieures apparues suite à un traumatisme !
Avant de faire le diagnostic ultrasonore de la fracture, ce patient a eu des radiographies de l'épaule et une IRM qui n'ont décelé aucune anomalie.
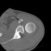
C'est en inspectant la région antérieure de l'épaule qu'a été constatée une interruption de la corticale osseuse sur le segment horizontal de la coracoïde.
Cette anomalie a été confirmé sur 2 coupes distinctes.
A noter que l'on n'observe pas d'hématome à proximité de l'interruption de la corticale osseuse, la lésion remontant à plusieurs semaines.
A noter que l'on n'observe pas d'hématome à proximité de l'interruption de la corticale osseuse, la lésion remontant à plusieurs semaines.







