Lorsqu'on suspecte une rupture du ligaement croisé antéro-externe, la radiographie de genou est peu contributive, à 2 exceptions prés :
- l'arrachement des épines tibiales
- la fracture de Segond
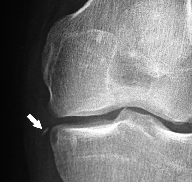
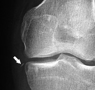
Décrite pour la première fois par le docteur Paul Segond en 1891, après une série d’observations autopsiques, la fracture de Segond est associée dans 75 à 100 % des cas, à l’arrachement du ligament croisé antérieur (LCA) et, dans 60 à 70 % d’entre eux, à une lésion du ménisque interne. Elle peut également s’accompagner d’une lésion des structures postérieures du genou.
Elle est le résultat caractéristique d’une rotation forcée interne du tibia sur un genou en varus. D’abord considérée comme résultat exclusif d’une avulsion du tiers médian du ligament latéral externe (LLE), des recherches plus récentes ont montré que la fracture de Segond est aussi en relation avec l’insertion de la bandelette ilio-tibiale (BIT) sur le tubercule de Gerdy.
À la radiographie de face, la fracture de Segond présente l'aspect d'une pastille d’os située sur le bord supéro-externe du plateau tibial externe. Ce fragment peut toutefois être très difficile à discerner aux rayons X.
Un rare traumatisme en miroir de la fracture de Segond a également été décrit, la fracture de Segond inversée, qui se produit par avulsion de l’extrémité tibiale du ligament latéral interne (LLI): elle est alors souvent accompagnée de l’arrachement du ligament croisé postérieur (LCP) et d’une lésion du ménisque interne.



