
Lorsque vous mettez en évidence une calcification lors de votre examen échographique, vous devez préciser sur votre compte-rendu ses caractéristiques.
Bien entendu, vous indiquerez le nombre de calcifications, leurs tailles, leurs localisations et l’existence de complications mécaniques locorégionales (par exemple, pour l’épaule, présence d’une bursite et d’un conflit).
Si vous disposez d’un doppler énergie, vous rechercherez également un signal en regard qui témoigne d’une réaction inflammatoire.
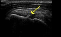
Concernant la nature des calcifications, nous vous conseillons d’utiliser la classification proposée par N.SANS dans son ouvrage « Echographie musculosquelettique », ouvrage que nous vous recommandons:
• Type 1 : formation échogène avec cône d’ombre pur
• Type 2 : formation échogène avec cône d’ombre impur (partiellement atténuant)
• Type 3 : formation échogène sans cône d’ombre
• Type 4 : formation échogène avec zone centrale hypoéchogène.
On comprend aisément que les types 1 et 2 correspondent aux calcifications dures, le type 3 aux calcifications molles, et le type 4 aux calcifications en cours de liquéfaction.
Logiquement, on ne pourra proposer de trituration que pour les calcifications molles, c'est-à-dire que pour le type 3…
Bien entendu, vous indiquerez le nombre de calcifications, leurs tailles, leurs localisations et l’existence de complications mécaniques locorégionales (par exemple, pour l’épaule, présence d’une bursite et d’un conflit).
Si vous disposez d’un doppler énergie, vous rechercherez également un signal en regard qui témoigne d’une réaction inflammatoire.
Concernant la nature des calcifications, nous vous conseillons d’utiliser la classification proposée par N.SANS dans son ouvrage « Echographie musculosquelettique », ouvrage que nous vous recommandons:
• Type 1 : formation échogène avec cône d’ombre pur
• Type 2 : formation échogène avec cône d’ombre impur (partiellement atténuant)
• Type 3 : formation échogène sans cône d’ombre
• Type 4 : formation échogène avec zone centrale hypoéchogène.
On comprend aisément que les types 1 et 2 correspondent aux calcifications dures, le type 3 aux calcifications molles, et le type 4 aux calcifications en cours de liquéfaction.
Logiquement, on ne pourra proposer de trituration que pour les calcifications molles, c'est-à-dire que pour le type 3…